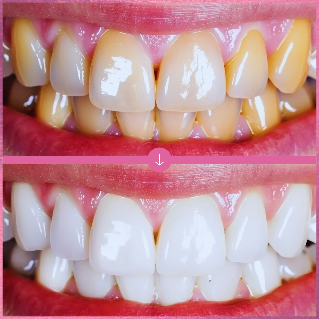
Transformation Gallery

Explore real before and after results that showcase our expertise and attention to detail.

Frequently Asked Questions

Do you have before and after photos of dental treatments?

Yes, we can show you before and after dental treatments in Aurora, showcasing results from procedures like teeth whitening and restorations.

Yes, patients are welcome to visit our clinic and learn more about the services we offer. 

Contact us today to schedule your visit and discuss your dental care needs.

Ready to Transform Your Healthcare Experience?

Join thousands of healthcare providers already using Dana World AI Group’s solutions to improve patient outcomes.