Gum Surgery in Aurora | Gum Reduction Surgery Cost

Dana Dental Clinic in Aurora

Gum Surgery in Aurora | Gum Reduction Surgery Cost

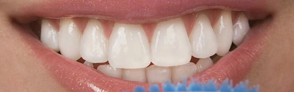
If you have too high or too low gums on your teeth and feel unhappy with your smile, you can opt for gum surgery in Aurora, also known as gum reduction or gum contouring. This cosmetic procedure helps even out an uneven gum line, restoring a balanced and confident smile.

What Causes Uneven Gums?

Gum appearance can vary due to several factors, resulting in gums that appear too high or too low. High gums can make teeth look longer, while low gums may cover more of the teeth, making them appear smaller. Common causes include:

  • Genetics – Natural variations in the shape and size of gum tissue
  • Underlying Health Conditions – Certain medical issues can impact gum health
  • Prescription Medications – Some medications may lead to gum overgrowth
  • Gum Recession – Often caused by periodontal disease or overly aggressive brushing

Why Consider Gum Reduction?

Gum surgery in Aurora is commonly performed not only for cosmetic reasons but also for important medical purposes. Some patients choose gum reshaping to improve the appearance of their smile, while others need the procedure as part of essential periodontal treatments, including:

  • Crown Lengthening – Exposes more of the tooth structure to support restorations
  • Regenerative Procedures – Treats gum recession and restores lost tissue
  • Pocket Reduction Surgery – Helps manage gum disease by reducing deep gum pockets

How Does Gum Reduction Work?

At DANA Dental, our skilled dentists use advanced laser and radiosurgery techniques for precise gum contouring. The procedure includes:

  1. Removing Excess Gum Tissue – Low-lying gums are reshaped to reveal more of the tooth structure.
  2. Grafting for Receded Gums – Tissue is taken from another area of the mouth and applied to overly exposed teeth to achieve a balanced gum line.
  3. Precision and Comfort – Modern technology ensures minimal discomfort and promotes faster healing.

Gum Reduction Surgery Cost

The cost of gum reduction surgery can vary depending on several factors, including:

  • Extent of Gum Reshaping – How much tissue needs to be adjusted
  • Procedure Complexity – More intricate cases may require additional time and care
  • Additional Treatments – Procedures like gum grafting can affect the overall cost
  • Technology Used – Advanced lasers and radiosurgery tools may influence pricing

During your consultation, our team will provide a clear breakdown of the total gum surgery cost in Aurora and discuss available payment options to suit your needs.

Book Your Consultation Today!

FAQs About Dental Bridges in Aurora

1. Does gum reduction surgery hurt?
The procedure is typically painless as local anesthesia is used. Some mild discomfort may occur after the treatment, but it can be managed with prescribed or over-the-counter pain relievers.
Recovery time varies depending on the extent of the procedure. Most patients heal within a few days to a couple of weeks by following post-operative care instructions.
Yes, unlike teeth whitening, gum reduction is a permanent solution to reshaping the gum line. However, maintaining good oral hygiene is essential for long-term results.
While gum contouring is primarily cosmetic, some procedures, such as pocket reduction surgery, can help treat periodontal disease.
Insurance coverage varies. If the procedure is medically necessary, some plans may cover a portion of the gum reduction surgery cost. Our team can help verify your insurance benefits.